MAS INFORMACION CON PREGUNTAS Y RESPUESTAS SOBRE EL DESPRENDIMIENTO DE RETINA...
La retina es la estructura más importante del ojo, esta situada en la parte posterior del ojo. Es una fina y delicada membrana compuesta por estructuras nerviosas y vasculares muy importantes para la visión. La retina, detecta la luz y envía las imágenes al cerebro a través del nervio óptico.
Imagen: Anatomia del ojo
Un desprendimiento de retina ocurre cuando la retina se separa de su posición normal. Cuando la retina se desprende, es separada de la pared posterior del ojo y esta entonces pierde el suministro de sangre y fuente de nutrición. La retina degenerará y perderá la habilidad de funcionar si continúa desprendida. Las causas de desprendimiento de retina se pueden dividir en tres categorías:
1. DESPRENDIMIENTO DE RETINA REGMATOGENO: Es debido a una rotura en la retina o desgarro, que permiten que el líquido del vítreo que ocupa el centro del globo ocular pase a través de la rotura, entre por debajo de la retina, y así la desprenda.
2. DESPRENDIMIENTO RETINIANO EXUDATIVO: Se debe a filtraciones por debajo de la retina, lo cual crea un líquido "exudativo" que desprende la retina; tumores y procesos inflamatorios podrían crear este tipo de desprendimiento.
3. DESPRENDIMIENTOS RETINIANOS POR TRACCIÓN: Se Debe a la tracción sobre la retina frecuentemente de un tejido fibrovascular dentro de la cavidad vítrea. La retinopatía diabética es la causa más común de este tipo de desprendimiento por tracción.
El desprendimiento de retina es mas frecuente en personas que:
• Son miopes;
• Que tienen áreas de retina delgada que predisponen a la formación de agujeros;
• Que han sido operadas del ojo;
• Que hayan tenido trauma ocular (accidentes de transito, deportes, etc.);
• Glaucoma, Diabetes;
• Después de Yag Láser;
• Antecedentes familiares de Desprendimiento de Retina;
• Que hayan tenido inflamaciones en el interior del ojo.
COMO SE DESPRENDE LA RETINA?
El vítreo es un líquido tipo gel claro y transparente (parecido a la clara de huevo), que llena el centro del ojo. El gel vítreo se licua con la edad y este se puede desprender de la retina. A este evento se llama desprendimiento posterior de vítreo, y ocurre generalmente en personas entre los 40 y 70 años de edad.
Imagen: representación de un agujero en la retina que deja pasar líquido presente normalmente del centro del ojo por debajo de la retina, el cual la desprende de la pared ocular
El vítreo se separa generalmente de la retina sin causar problemas. Pero, al estar separándose de la retina, tal cual se separase una cinta adhesiva de un papel puede causar agujeros al separarse. Los jalones del vítreo sobre la retina son los que rasgan la mayoría de las veces la retina en uno o más lugares. Estos desgarros (agujeros), que se forman en la retina son los causantes del desprendimiento conocido como regmatógeno, ya que el líquido normal que llena el interior del ojo puede penetrar a través de la rotura retiniana, levantándola y así desprendiéndola de la pared del ojo.
Tanto, en la separación del vítreo periférico de la retina, como su desprendimiento del centro de la retina, se ven puntitos, manchas o líneas en forma de sacacorchos que aparecen delante del campo visual. Las personas frecuentemente piensan que estos "flotadores" son moscas volantes. Luces o centelleos luminosos son también síntomas comunes del desprendimiento del vítreo. Estos se deben al jalón en la retina y a la separación del vítreo de la misma. Estos jalones estimulan las terminaciones nerviosas de la retina, resultando en sensaciones visuales de centelleos luminosos. Si los vasos de la retina se rompen por el jalón, podría ocurrir una hemorragia vítrea en la cual la visión se pierde de forma abrupta.
CUALES SON LOS SÍNTOMAS DEL DESPRENDIMIENTO DE RETINA?
Estos síntomas precoces pueden indicar la presencia de un desprendimiento de retina:
• luces que destellan;
• moscas volantes;
• una cortina gris que se mueve a través de su campo visual.
Estos síntomas no significan siempre que un desprendimiento de retina está presente; sin embargo, debe ver a su oftalmólogo cuanto antes. Importante, buscar un Oftalmólogo con estudios y especializado en Vítreo y Retina, el cual puede diagnosticar desprendimiento de retina durante un examen ocular después de dilatar las pupilas de sus ojos que es necesario, para encontrar el desgarro o agujeros en la retina y buscar también si existen otras áreas de riesgo de desprendimiento.
Solamente después de este examen se puede saber si existe un agujero o desgarro retinal o si hay un desprendimiento de retina.
Si la rotura no fuera encontrada en el examen inicial, es importante examinar de nuevo en los días siguientes que se presentaran de nuevo los síntomas como ser aumento de moscas volantes, centelleos luminosos o si aparece una cortina que tapa la visión; ya que esta última por lo general, se presenta cuando ya existe el desprendimiento de retina.
QUE TRATAMIENTO ES NECESARIO?
Generalmente se lo trata con láser, crioterapia (frío) o cirugía. La retina es el tejido más importante y delicado del ojo.
DESGARROS RETINALES: Los desgarros retinales sin desprendimiento de retina aún, necesitan ser tratados con láser o crioterapia (congelando), que al cicatrizar después de 2 semanas, sellan la retina desgarrada a la pared del ojo. Estos tratamientos causan poco o nada de molestia. El tratamiento previene generalmente el desprendimiento de retina.
Una vez ocurrido el desprendimiento de retina, es tarde para usar el láser o la crioterapia. Por esto que es muy importante examinar si tuviera síntomas de desprendimiento de vítreo (centelleos luminosos, moscas volantes o pequeñas manchas), que predicen un desprendimiento de retina.
Cuando el desgarro es descubierto y tratado, es necesario examinarlo periódicamente para estar seguros de que no se haya formado otro desgarro.
DESPRENDIMIENTO DE RETINA: Afortunadamente, casi un 95% de los desprendimientos de retina pueden ser reparados en un solo procedimiento quirúrgico.
Casi todos los pacientes con desprendimiento de retina requieren cirugía para volver a poner la retina en su lugar.
Hay varias maneras de fijar una separación retiniana. La decisión de cual es el tipo de cirugía a utilizar depende de las características de su separación.
En cada uno de los métodos siguientes, su oftalmólogo localizará los desgarros retinales y utilizará cirugía con láser o crioterapia para sellar la rotura.
Actualmente, existen tres tipos quirúrgicos diferentes de reparos de retina: Cinturón de silicona escleral con explantes, vitrectomía posterior con endolaser y retinopexia pneumática.
LOS DIABÉTICOS PUEDEN TENER DESPRENDIMIENTO DE RETINA?
Si, e infelizmente en sus estadios mas avanzados de la Retinopatía Diabética el DESPRENDIMIENTO ES POR TRACCION RETINAL. La tracción habitualmente se debe a la proliferación de un tejido fibrovascular dentro de la cavidad del vítreo que tracciona la retina, y la va desprendiendo. En la retinopatía diabética proliferativa se desarrollan vasos anormales (neovascularización) en la superficie de la retina que van hacia el centro del ojo en la cavidad vítrea y traccionan la retina desprendiéndola. En estos pacientes es necesaria la cirugía Vítreo-Retinal con Endolaser.
QUE TÉCNICAS QUIRÚRGICAS SE USAN PARA COLAR LA RETINA?
El anillo escleral es usado desde hace más de 30 años.
La moderna vitrectomía posterior con endolaser que es la cirugía más compleja y delicada del ojo; la realizamos en nuestra ciudad desde el año 1.991 de rutina, con más de 3.500 casos operados, lo que demuestra que disfrutamos de mucha experiencia en este campo.
ANILLO O CINTURÓN ESCLERAL DE SILICONA CON EXPLANTES: Este procedimiento quirúrgico es realizado con anestesia local, y demora generalmente entre 30-90 minutos el realizarlo.
Una tira flexible (hebilla escleral) se coloca alrededor del ojo para equilibrar la fuerza que saca la retina de su lugar. También, se coloca un explante mas grueso de silicona en el lugar donde esta el agujero o desgarro retinal para poder sellarlo mejor.
Este procedimiento es comúnmente usado para el desprendimiento regmatógeno. El procedimiento incluye la localización y posición del desgarro, tratando toda el área del desgarro con Láser y/o crioterapia y sujetando el lugar donde se encuentra el desgarro en la retina con un cinturón y explante de silicona. El anillo es usualmente una esponja de silicona o silicona sólida. El tipo de forma del anillo y explante depende de la localización y números de desgarros en la retina. El anillo se coloca en la parte blanca externa de la pared del ojo (esclera), y se lo ajusta de tal forma que tenga un efecto de identación para dentro del ojo. El anillo es colocado para que sujete la retina y cierre efectivamente la rotura. Una vez la rotura es cerrada, el fluido debajo de la retina (fluido subretinal), se reabsorbe espontáneamente en 1 a 2 días. Algunas veces se realiza drenaje del fluido subretinal con láser en el acto quirúrgico.
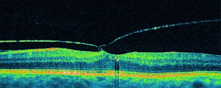
Imagen: Izquierda: Agujero dando desprendimiento de retina.
Derecha: Retina Colada, luego de la colocación del anillo escleral de silicona y endolaser
RETINOPEXIA PNEUMATICA: Se lo puede usar, especialmente si la rotura se encuentra en la porción superior de la retina. En este procedimiento se inyecta una burbuja de gas en la cavidad interna del ojo (cavidad del vítreo). Si el desgarro es cubierto por la burbuja, el fluido subretinal usualmente se reabsorbe en 1 ó 2 días. El desgarro de retina también es tratado con crioterapia antes de que la burbuja sea inyectada o con láser después que la retina sea sellada. Si la retina no se prende con este procedimiento, un anillo escleral y/o vitrectomía posterior podrían realizarse después.
Siempre que tenga Gas dentro del ojo, se le pedirá que usted mantenga cierta posición por varios días, para que el Gas empuje la retina hacia la pared del ojo y hasta que el agujero se haya sellado por el efecto del Láser o Crío lo cual demora entre 1-2 semanas. La burbuja de gas desaparecerá gradualmente.
VITRECTOMIA POSTERIOR CON ENDOLASER: Este procedimiento es comúnmente usado para el desprendimiento regmatógeno por tracción, o cuando hay hemorragia vítrea. En este proceso se realizan 3 minúsculas incisiones en la pared del ojo para así permitir la introducción de microinstrumentos quirúrgicos dentro de la cavidad vítrea. En la primer parte del procedimiento se extrae el vítreo central usando fibra óptica, infusión de suero y el micro-cortador del vítreo llamado vitreófago. Entonces, dependiendo del tipo y causa del desprendimiento, son usados una variedad de instrumentos pequeños como: microtijeras, micropinzas, etc. Se usa también líquidos especiales para “planchar” la retina que se llaman Perfluorocarbon líquidos. Se la realiza también la mayor parte de las veces con anestesia local, y demora habitualmente entre 30 minutos a 2 horas.
Dependiendo del tipo de desprendimiento, al final de la cirugía se puede colocar dentro del ojo: Suero, Aire, Gas o Silicona Líquida. Todos, con excepción de la Silicona liquida se reabsorben de forma espontánea, donde los líquidos propios del ojo los substituirán gradualmente. En la silicona liquida es necesario operar de nuevo después para retirarla cuando fuera pertinente.
Si existe catarata, también se opera la misma mediante técnicas de Facofragmentación con incisión mínima.
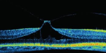
Imagen: Vitrectomia Posterior, donde se cortan las membranas que están jalando la retina. Se las tiene que retirar del ojo para que se relajen las tracciones que efectúan y que desprenden más y mas la retina
DESPUÉS DE LA CIRUGÍA: Debido a que la cirugía Vítreo-Retinal es la mas compleja y delicada, se espera algún dolor en los primeros días. Por lo general el post-operatorio demora 2 semanas cuando no hay complicaciones que suelen suceder en promedio en el 2-5% de los casos operados en cualquier lugar del mundo por cirujanos de vítreo-retina con experiencia.
Si se deja aire, burbuja de gas o silicona intraocular, los primeros días en el post-operatorio se ve todo negro lo cual ira mejorando día a día una vez todos los fluidos naturales del ojo se repongan. También, es importante que el paciente cumpla con la posición de cabeza que debe asumir las primeras 1-2 semanas después de operado.
No se puede viajar en avión o ir a ciudades con mucha altura las primeras 2-3 semanas hasta que parte de la burbuja de gas se haya reabsorbido. Un aumento rápido en altitud puede causar una subida peligrosa en la presión del ojo.
Si después de una cirugía vítreo-retinal desenvuelve catarata, esta debe ser operada a través de técnicas con micro incisiones tipo Facofragmentación donde se usa incisión menor a 2.7 milímetros.
CUALES SON LOS RIESGOS DE LA CIRUGÍA?
Cualquier cirugía tiene riesgos; sin embargo, un desprendimiento de retina no tratado quirúrgicamente da lugar generalmente a pérdida severa permanente de la visión.
Algunos de los riesgos quirúrgicos incluyen:
• infección (muy raro);
• sangrado;
• presión alta en el ojo;
• catarata;
• proliferación vítreo-retinal (cicatrización excesiva de la retina después de operado), lo que puede llevar a un nuevo desprendimiento que debe ser reintervenido quirúrgicamente.
La mayoría de las cirugías vítreo-retinales son exitosas en manos de cirujanos especializados y con experiencia, no obstante en una minoría de pacientes una segunda o más cirugías son a veces necesarias. Si la retina no puede ser recolocada en su posición normal, el ojo continuará perdiendo visión llegando a perder por completo la visión. También, cuando la retina esta desprendida hay generalmente menos presión intraocular y el ojo se puede hacer más chico (atrofia ocular).
RESULTADOS DE LA CIRUGIA: Actualmente más de un 95% de los desprendimientos de retina son operados con éxito. Algunas veces el anillo escleral es combinado con la vitrectomía. Si la retina no fuera reaplicada o se desprende nuevamente, frecuentemente se debe al desarrollo de cicatriz excesiva en la superficie de la retina (llamada proliferación vítreo-retinal), que arruga y desprende nuevamente la retina. Si bien hoy en día, usamos medicamentos para impedir esta proliferación vítreo-retinal, en algunos casos aún todavía a nivel mundial se tienen estas desagradables cicatrices post-operatorias que son poco predecibles, y que cuando se forman desprenden nuevamente la retina. Si esto sucedería se procede a realizar una nueva cirugía vítreo-retinal para el reparo del nuevo desprendimiento.
SU VISIÓN MEJORARA?
En desprendimiento de retina la lucha es para que el paciente NO quede ciego.
La visión puede tomar muchos meses para mejorar y en algunos casos nunca volver a ser como era antes del desprendimiento. Desafortunadamente, algunos pacientes no recuperan ninguna visión.
Cuanto más severo el desprendimiento de retina o mayor el tiempo de desprendimiento, menor la probabilidad de mejora visual.
Si el desprendimiento de retina no llego a la parte central de la visión antes de ser operado, generalmente se recupera gran parte de visión.
Referencias: Academia Americana de Oftalmología
arzabe@hospitaldelojo.net
http://www.hospitaldelojo.net/
Fuente: http://www.consultoriomedico.info/



















